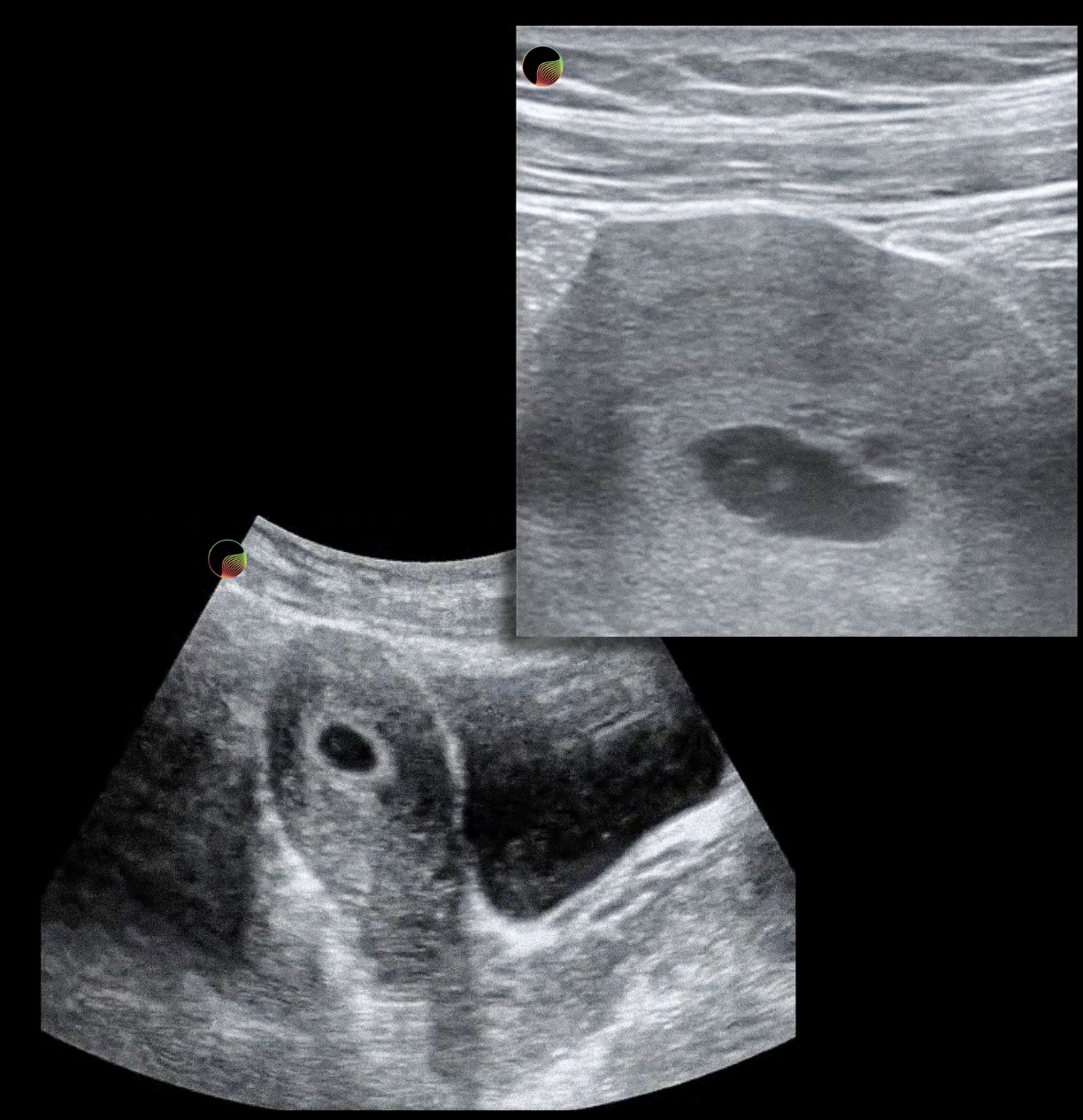
Interested in learning more about early pregnancy loss? 

Check out our other lectures related to early pregnancy loss: - FemInEM Medication Primer: Mifepristone and Misoprostol - POCUS Basics: Intrauterine Pregnancy and Early Pregnancy Loss - FemInEM Core Content: Early Pregnancy Loss Explore more early pregnancy loss resources at https://feminem.org/resources/earlypregnancyloss